Qu’est-ce que l’arthrose du genou ?
L’arthrose du genou, ou gonarthrose, est l’usure progressive du cartilage, le revêtement lisse qui permet aux os de votre articulation de glisser sans friction. C’est la forme d’arthrose la plus courante.
Avec le temps, ce cartilage s’amincit et peut disparaître. Les os se retrouvent alors en contact direct, ce qui rend le mouvement difficile et douloureux. L’articulation peut se déformer, s’enraidir et limiter votre mobilité. Cette usure est irréversible, mais ses symptômes peuvent être gérés efficacement.
Quelles sont les causes de la gonarthrose ?
Si l’âge est un facteur principal, d’autres causes peuvent accélérer l’usure du genou :
Quels sont les symptômes ?
Au début, l’arthrose peut être silencieuse. Puis, les symptômes suivants apparaissent et s’intensifient :
Parfois, des douleurs au genou peuvent provenir d’un autre problème (hanche, dos). Un bilan complet est donc nécessaire pour poser le bon diagnostic.
Avant d’envisager la chirurgie, plusieurs solutions médicales permettent de soulager la douleur et de ralentir l’évolution :
La décision est prise lorsque le traitement médical ne suffit plus et que la douleur, la raideur ou l’instabilité ont un impact majeur sur votre qualité de vie (difficulté à marcher, à monter les escaliers, à rester debout). C’est une discussion approfondie entre vous et votre chirurgien, qui tiendra compte de votre âge, de vos activités et de vos attentes.
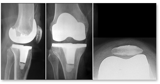
L’opération dure en moyenne 1h30. Le chirurgien ne remplace pas tout le genou. Il retire uniquement les surfaces de cartilage abîmées et les remplace par des implants (les composants de la prothèse) en métal et en polyéthylène (un plastique très résistant) qui restaurent un glissement fluide et indolore. Les ligaments principaux sont généralement conservés.

Bien que la prothèse de genou soit une intervention très maîtrisée avec plus de 90% d’excellents résultats, le risque zéro n’existe pas. Les complications sont rares, mais doivent être mentionnées :
Les signes d’alerte sont une augmentation de la douleur, une rougeur, une chaleur autour de la cicatrice, un écoulement ou de la fièvre. Dans ce cas, vous devez contacter votre chirurgien sans tarder.
En cas de douleur du genou handicapante résistante au traitement médical.
Remplacer l'articulation douloureuse.
Générale ou rachianesthésie (déterminée avec le médecin anesthésiste).
Entre 2 et 4 jours.
Le jour même de votre intervention.
Retour à domicile au centre de rééducation.
En général, 2 à 3 mois.
6 à 8 semaines, plus long en cas de travail de force
1 mois ½ après l’intervention.
3 mois après l’intervention.