Secrétariat du lundi au vendredi de 08h00 à 18h00 au 07 67 05 04 02

Hallux Valgus

Hallux Valgus

L’Hallux Valgus, souvent appelé « oignon », est une déviation du gros orteil provoquant une bosse douloureuse, favorisée par l’hérédité et le port de chaussures étroites. Lorsque le chaussage devient difficile malgré les traitements médicaux (semelles, orthèses), la chirurgie permet de corriger durablement l'axe osseux. L'intervention est peu douloureuse et autorise une marche immédiate avec une chaussure spécifique, bien que le pied nécessite plusieurs mois pour dégonfler totalement.

Hallux Valgus

Descriptifs

Comprendre la Pathologie : Description, Causes et Évolution

Qu’est-ce que l’Hallux Valgus ?

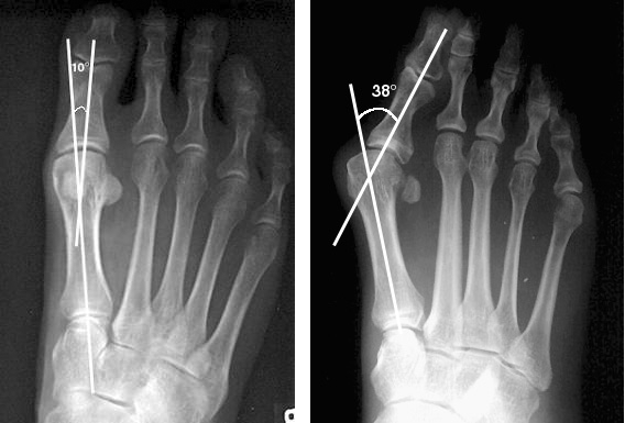
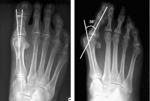
L’Hallux Valgus est la pathologie la plus fréquente de l’avant-pied. Il se caractérise par une déviation du gros orteil (l’hallux) vers l’extérieur, qui s’accompagne d’une proéminence osseuse sur le bord interne du pied : l’exostose, communément appelée « oignon ».

Cette bosse entre en conflit avec la chaussure, créant une inflammation d’une petite poche de liquide (la bourse séreuse) située sous la peau : c’est la bursite, responsable de rougeurs, de chaleur et de vives douleurs.

Pourquoi cela arrive-t-il ? (Les Causes)

Le développement de l’Hallux Valgus est souvent le résultat d’une combinaison de facteurs :

  • L’Hérédité (Facteur majeur) : C’est la cause principale. Dans 72% des cas, il existe une transmission familiale (souvent maternelle). Si vos parents en souffrent, vous avez une prédisposition.
  • L’Anatomie du pied : Certains types de pieds (pied égyptien, pied plat valgus) ou une hyperlaxité ligamentaire favorisent la déviation.
  • Le Chaussage : Les chaussures à talons hauts et à bouts pointus ne sont pas la cause unique, mais elles sont un facteur aggravant majeur. Elles compriment l’avant-pied et augmentent l’incidence de la pathologie (jusqu’à 48% plus fréquente chez les porteurs de ce type de souliers).
  • Le Sexe : Les femmes sont beaucoup plus touchées que les hommes.

Comment la déformation évolue-t-elle ?

L’Hallux Valgus est une pathologie évolutive. Au départ, la gêne est esthétique ou liée au frottement. Mais avec le temps, la déviation du gros orteil entraîne une désorganisation de tout l’avant-pied :

  1. Perte d’appui : Le gros orteil ne joue plus son rôle de propulseur.
  2. Transfert de charge : Le poids du corps se reporte sur les 2ème et 3ème orteils, créant des douleurs sous la plante du pied (métatarsalgies) et des durillons.
  3. Griffes d’orteils : Le 2ème orteil, poussé par le premier, se replie en « marteau » ou en « griffe ».
  4. Arthrose : À un stade avancé, le cartilage de l’articulation s’use, rendant l’articulation raide et douloureuse.

Les Traitements : Du Soulagement à la Correction

Le Traitement Médical (Pour soulager)

Tant que la déformation est supportable, des solutions non chirurgicales permettent de retarder l’échéance et de diminuer les douleurs, sans toutefois corriger l’os :

  • Le chaussage adapté : Privilégiez des chaussures larges, en cuir souple, sans coutures au niveau de l’oignon, et évitez les talons hauts.
  • Les orthèses :
    • Correcteurs nocturnes : Ils étirent les ligaments et soulagent la tension, mais ne redressent pas l’os définitivement.
    • Semelles orthopédiques : Utiles si vous avez les pieds plats, elles soutiennent l’arche interne pour améliorer l’appui.
    • Protecteurs en silicone : Pour amortir le frottement sur la bosse.

Le Traitement Chirurgical (Pour corriger)

La chirurgie est le seul moyen de corriger l’architecture du pied.

Quand opérer ? Il n’y a pas d’urgence tant que la gêne est tolérable. L’opération est décidée lorsque la douleur devient quotidienne, que le chaussage devient difficile ou que les orteils voisins commencent à se déformer.

La Technique Chirurgicale :

L’objectif n’est pas seulement de « raboter la bosse », mais de réaxer le métatarse.

  • L’Ostéotomie : Le chirurgien réalise des coupes osseuses (ostéotomies) pour redresser le métatarse et la phalange. Ces corrections sont fixées par des petites vis qui restent généralement à vie.
  • Les gestes associés : Si nécessaire, le chirurgien corrigera dans le même temps les griffes d’orteils ou les douleurs plantaires.
  • L’Anesthésie : Elle est le plus souvent locorégionale (seuls le pied et la cheville sont endormis) ou générale, selon votre choix et l’avis de l’anesthésiste.

Le Parcours de Soins :

  1. Pré-opératoire : Consultation chirurgien et anesthésiste, arrêt du tabac impératif (pour la cicatrisation osseuse), achat de la chaussure orthopédique.
  2. L’Hospitalisation : Elle se fait généralement en ambulatoire (entrée le matin, sortie le soir).

Post-opératoire immédiat : Vous sortez en marchant avec votre chaussure spéciale. La gestion de la douleur est anticipée par des antalgiques puissants.

Questions Fréquentes

L’opération est-elle très douloureuse ?

C’est une réputation ancienne qui n’est plus justifiée aujourd’hui. Grâce aux techniques modernes d’anesthésie et de chirurgie, la douleur est très bien contrôlée. 95% des patients la jugent tout à fait tolérable avec des antalgiques simples pendant 2 à 3 jours.

Puis-je opérer les deux pieds en même temps ?

C’est techniquement possible, mais cela dépend de votre autonomie.

  • Un pied à la fois : Recommandé pour garder une mobilité optimale et conduire rapidement. Le délai entre les deux opérations est de 6 à 12 mois.
  • Les deux pieds : Possible si vous avez de l’aide à domicile, car votre mobilité sera réduite les premiers jours (marche « en canard », besoin de béquilles au début).

Combien de temps faut-il pour récupérer ?

  • Marche : Immédiate avec la chaussure orthopédique (à garder 4 à 5 semaines).
  • Conduite : Possible après 4 à 5 semaines (dès que la chaussure spéciale est retirée).
  • Travail : Arrêt de 2 à 6 semaines selon votre métier (sédentaire ou debout).
  • Œdème : Le pied reste gonflé plusieurs mois (3 à 6 mois), c’est normal. Prévoyez des chaussures larges type baskets pour la reprise.
  • Sport : Vélo et natation après cicatrisation de la peau (3-4 semaines), course à pied après 3 mois.

Y a-t-il un risque de récidive ?

Avec les techniques modernes qui corrigent l’axe de l’os et non plus seulement la bosse, le taux de récidive est devenu très faible (inférieur à 5%). Le respect des consignes post-opératoires est essentiel pour garantir ce résultat.

Faut-il faire de la rééducation ?

En général, non. L’auto-rééducation (marcher avec la chaussure, bouger les orteils soi-même) suffit. Des séances de kinésithérapie peuvent être prescrites au cas par cas si une raideur persiste après un mois.

Quelles sont les complications possibles ?

Comme tout acte chirurgical, le risque zéro n’existe pas. Les complications sont rares mais possibles : infection (traitée par antibiotiques), phlébite (prévue par anticoagulants), retard de cicatrisation (surtout chez les fumeurs), ou raideur articulaire passagère.

Cure Chirurgicale Hallux Valgus : Vidéos

En résumé

Quand opérer ?

En cas de douleurs invalidantes résistantes aux traitements médicaux.

But de l’opération

Rétablir l'axe de l'orteil et faire disparaitre les douleurs.

Quelle anesthésie ?

Générale ou loco-régionale (déterminée avec le médecin anesthésiste).

Durée d’hospitalisation

En ambulatoire.

Reprise de l’appui

Immédiatement avec une chaussure de décharge d'avant pied pour une durée de 30 à 45 jours.

Après l’opération

Retour à domicile.

Durée de la rééducation

En général, 2 à 3 mois.

Durée de l’arrêt de travail

6 à 8 semaines, plus long en cas de travail de force

Reprise de la conduite auto

1 mois ½ après l’intervention.

Reprise du sport

3 mois après l’intervention.