Voici un résumé de l'article sur la fracture de fatigue :
La fracture de fatigue (ou de stress) n'est pas une fracture classique due à une chute, mais une micro-fissure causée par un surmenage répété de l'os (sport intensif, reprise brutale).
Le symptôme typique est une douleur vive et très localisée pendant l'effort, qui disparaît complètement au repos.
Le diagnostic est confirmé par une IRM (la radiographie est souvent normale au début). Le traitement est strict : l'arrêt total du sport est indispensable pendant environ 3 mois pour permettre à l'os de cicatriser.
La fracture de fatigue, aussi appelée fracture de stress, n’est pas une fracture au sens habituel, comme après une chute. Elle survient lorsqu’un os est soumis à des mouvements intenses et répétés qui dépassent sa capacité d’adaptation.
L’os se fragilise, de petites fissures apparaissent, provoquant la douleur. Elle est très fréquente chez les sportifs, mais pas uniquement.
Qu’est-ce qu’une fracture de fatigue ?
On pourrait la définir comme une « blessure d’adaptation » de l’os à l’effort. Pour rester solide, l’os se renouvelle en permanence : l’ancien tissu osseux est détruit (résorption) puis remplacé par du tissu neuf (reconstruction). C’est le remodelage osseux. Lors d’un stress sportif ou d’une surcharge inhabituelle, ce cycle s’accélère. Si la phase de destruction va plus vite que la phase de reconstruction, l’os se fragilise et des micro-fissures apparaissent.
Cette blessure n’est donc pas liée à un traumatisme unique (un coup ou une chute), mais à une surcharge répétée sur un os sain.
Localisations fréquentes : Les fractures de fatigue touchent principalement les membres inférieurs, qui supportent le poids du corps.
Tibia (environ 33 %)
Pied (métatarses et os du tarse, environ 40 %)
Fémur (11 %)
Bassin (7 %)
Quels sont les symptômes ?
Le symptôme principal est la douleur. Elle a des caractéristiques très typiques :
Elle apparaît progressivement à l’effort.
Elle disparaît complètement au repos ou peu de temps après l’arrêt de l’activité.
Elle est très localisée, souvent sur un point précis de l’os.
Si l’activité sportive n’est pas stoppée, la douleur devient de plus en plus précoce durant l’effort, puis peut devenir permanente, gênant la marche et survenant même la nuit.
Un gonflement (œdème) au niveau de la zone douloureuse est également possible.
Quand consulter ? N’attendez pas. Si vous ressentez une douleur qui correspond à cette description, il est important de consulter pour éviter que les micro-fissures ne s’aggravent.
Qui est concerné ?
La fracture de fatigue survient lors de toute augmentation brutale des contraintes sur l’os. Cela concerne :
Les sportifs de haut niveau (athlétisme, danse, gymnastique).
Les coureurs à pied (running) qui augmentent trop vite leur volume d’entraînement.
Les militaires lors des premières semaines d’instruction (les « fractures de marche »).
Toute personne reprenant le sport de façon intensive après une pause.
Les personnes passant d’un mode de vie sédentaire à une activité intense (ex: nouveau retraité se mettant à la randonnée).
Causes et facteurs de risque
La cause principale est le surmenage : « trop, trop vite, trop tôt ». Mais d’autres facteurs peuvent augmenter le risque :
L’augmentation de l’activité : Augmenter trop rapidement la durée, l’intensité ou la fréquence des entraînements.
Les sports à fort impact : Course à pied, sports collectifs, danse, tennis.
La fatigue musculaire : Des muscles fatigués absorbent moins bien les chocs, qui sont alors reportés directement sur l’os.
Les problèmes de pied : Des pieds plats ou au contraire très creux peuvent modifier la répartition des appuis.
L’équipement : Des chaussures de sport usées ou inadaptées.
Facteurs hormonaux : Chez les femmes, des cycles menstruels absents ou irréguliers peuvent être liés à une fragilité osseuse.
Carences nutritionnelles : Un manque de Vitamine D ou de calcium est un facteur de risque majeur.
Comment faire le diagnostic ?
Le diagnostic est souvent suspecté dès l’interrogatoire, car la description de la douleur est très évocatrice.
L’examen physique : Le médecin recherche une douleur très précise à la palpation de l’os.
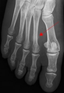
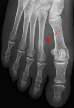
La radiographie :Attention, au début, la radiographie est presque toujours normale. Les fissures sont trop fines pour être vues. Elle ne devient positive que plusieurs semaines plus tard, en montrant des signes de consolidation (cal osseux).
Radiographie d’une fracture du IIe métatarsien du pied.
L’IRM (Imagerie par Résonance Magnétique) : C’est l’examen de référence. L’IRM permet de voir l’inflammation à l’intérieur de l’os (l’œdème osseux) et de visualiser la fissure bien avant la radiographie.
IRM Fracture de fatigue du tibia.
La scintigraphie osseuse : Cet examen (injection d’un traceur) est aussi très sensible et montre une « tache » brillante là où l’os travaille pour réparer.
Scintigraphie d’une fracture du tibia.
Quel est le traitement ?
Le traitement repose sur un seul mot : le REPOS.
L’arrêt sportif est TOTAL et obligatoire. Une simple diminution de l’activité ne suffit pas. C’est la seule façon de laisser à l’os le temps de cicatriser (consolider).
La mise en décharge (marche avec des béquilles) peut être nécessaire si la douleur persiste à la marche. Parfois, une botte de marche est prescrite.
La consolidation osseuse prend en général 3 mois.
Un traitement contre la douleur et l’œdème peut être associé : glaçage, surélévation, anti-inflammatoires locaux (gels).
Une supplémentation en Vitamine D est presque toujours prescrite, car la carence est très fréquente.
La chirurgie reste exceptionnelle, réservée à certaines fractures de fatigue graves ou chez des athlètes d’élite.
La reprise et la prévention
La reprise de l’activité ne se fait qu’après l’accord de votre médecin et doit être extrêmement progressive. On commence souvent par des sports « portés » (sans impact) comme la natation ou le vélo, avant de réintroduire la course à pied très lentement.
Pour prévenir une nouvelle fracture de fatigue :
Soyez progressif : N’augmentez pas votre volume d’entraînement de plus de 10 % par semaine.
Échauffez-vous avant chaque séance.
Variez les activités (entraînement croisé) pour éviter de solliciter toujours les mêmes zones.
Portez des chaussures adaptées et changez-les régulièrement.
Ayez une alimentation équilibrée, riche en calcium et en Vitamine D.
Écoutez votre corps : Une douleur qui s’installe n’est jamais normale.
Gérer le consentement
Pour offrir les meilleures expériences, nous utilisons des technologies telles que les cookies pour stocker et/ou accéder aux informations des appareils. Le fait de consentir à ces technologies nous permettra de traiter des données telles que le comportement de navigation ou les ID uniques sur ce site. Le fait de ne pas consentir ou de retirer son consentement peut avoir un effet négatif sur certaines caractéristiques et fonctions.
Fonctionnel
Toujours activé
L’accès ou le stockage technique est strictement nécessaire dans la finalité d’intérêt légitime de permettre l’utilisation d’un service spécifique explicitement demandé par l’abonné ou l’utilisateur, ou dans le seul but d’effectuer la transmission d’une communication sur un réseau de communications électroniques.
Préférences
L’accès ou le stockage technique est nécessaire dans la finalité d’intérêt légitime de stocker des préférences qui ne sont pas demandées par l’abonné ou l’internaute.
Statistiques
Le stockage ou l’accès technique qui est utilisé exclusivement à des fins statistiques.Le stockage ou l’accès technique qui est utilisé exclusivement dans des finalités statistiques anonymes. En l’absence d’une assignation à comparaître, d’une conformité volontaire de la part de votre fournisseur d’accès à internet ou d’enregistrements supplémentaires provenant d’une tierce partie, les informations stockées ou extraites à cette seule fin ne peuvent généralement pas être utilisées pour vous identifier.
Marketing
L’accès ou le stockage technique est nécessaire pour créer des profils d’internautes afin d’envoyer des publicités, ou pour suivre l’utilisateur sur un site web ou sur plusieurs sites web ayant des finalités marketing similaires.