Secrétariat du lundi au vendredi de 08h00 à 18h00 au 07 67 05 04 02

Ménisques

Menisectomie et Suture Méniscale

Une lésion méniscale est une déchirure d'un des "amortisseurs" du genou, survenant suite à un traumatisme ou à l'usure. Elle provoque des douleurs, des blocages et des gonflements. Le diagnostic est confirmé par une IRM. Le traitement initial est souvent médical, mais une chirurgie sous arthroscopie est proposée si la lésion est instable ou si les symptômes persistent. L'intervention consiste soit à réparer le ménisque par une suture, soit à retirer uniquement la partie abîmée (méniscectomie), avec pour objectif de préserver au maximum le ménisque. La récupération est rapide après une méniscectomie, mais plus longue et prudente après une suture afin de permettre la cicatrisation.

Menisectomie et Suture Méniscale

Descriptifs

Qu’est-ce qu’un ménisque et à quoi ça sert ?

Dans chaque genou, nous avons deux ménisques (un interne et un externe). Ce sont de petits « coussins » en forme de croissant, composés de fibrocartilage, situés entre le fémur (l’os de la cuisse) et le tibia (l’os de la jambe). Ils jouent un rôle essentiel :

  • Amortisseurs : Ils absorbent les chocs lors de la marche, de la course ou des sauts.

  • Stabilisateurs : Ils contribuent à la stabilité du genou, en complément des ligaments.

  • Lubrifiants : Ils aident à répartir le liquide synovial pour nourrir le cartilage.

Qu’est-ce qu’une lésion méniscale ?

Une lésion méniscale est une déchirure ou une fissure d’un de ces ménisques. Elle peut survenir de deux manières principales :

  1. Traumatique : Lors d’un accident brutal, comme une torsion du genou au sport. C’est fréquent chez les sujets jeunes.

  2. Dégénérative : Par usure progressive, due à des microtraumatismes répétés au fil du temps. C’est plus courant après 40 ans.

Lésion méniscale

Quels sont les symptômes ?

Une lésion méniscale peut provoquer divers symptômes :

  • Douleurs : Une douleur vive, souvent localisée sur le côté interne ou externe du genou, majorée à la torsion ou en position accroupie.

  • Blocages : Une sensation que le genou se « coince » ou se « verrouille », rendant l’extension ou la flexion impossible.

  • Gonflements : Un épanchement de liquide dans le genou (appelé « épanchement de synovie »).

  • Instabilité : Une sensation de dérobement ou de « lâchage » du genou.

Comment est posé le diagnostic ?

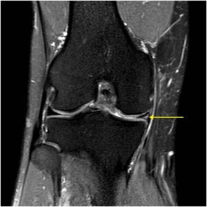
Le diagnostic commence par un examen clinique par votre chirurgien, qui recherche les signes caractéristiques d’une lésion méniscale. Cependant, l’examen de référence pour confirmer le diagnostic est l’IRM (Imagerie par Résonance Magnifique). Elle permet de voir précisément le type, la taille et la localisation de la lésion, et de vérifier l’état du cartilage et des ligaments.

IRM : Lésion méniscale

Les Traitements :

Quand faut-il opérer ?

Toutes les lésions méniscales ne nécessitent pas une opération. La décision dépend de plusieurs facteurs : le type de lésion, votre âge, votre niveau d’activité et surtout, l’intensité de votre gêne.

  • Traitement médical initial : Pour une lésion stable (qui ne bouge pas) ou peu symptomatique, un traitement médical (repos, anti-inflammatoires, kinésithérapie) peut être suffisant.

  • Indication chirurgicale : Une chirurgie sera proposée si la lésion est instable (un morceau du ménisque, appelé « anse de seau », bouge dans l’articulation), si elle provoque des blocages, ou si les douleurs et gonflements persistent malgré le traitement médical et vous handicapent au quotidien.

Quels sont les risques si on n’opère pas ?

Une lésion instable non traitée peut causer des douleurs croissantes, des blocages à répétition et, surtout, abîmer le cartilage du fémur et du tibia, ce qui peut conduire à une arthrose précoce.

Se préparer à l’intervention

Une bonne préparation est essentielle pour le succès de l’opération.

  • Consultation chirurgicale et anesthésique : Pour discuter des bénéfices, des risques, et choisir le type d’anesthésie le plus adapté (générale ou rachianesthésie).

  • Bilan préopératoire : Pour s’assurer de l’absence d’infection (urinaire, dentaire…) qui pourrait compliquer la chirurgie.

  • Arrêt du tabac : Il est impératif d’arrêter de fumer 6 à 8 semaines avant l’intervention pour améliorer la cicatrisation et réduire les risques.

L’intervention chirurgicale : L’arthroscopie

L’opération se déroule sous arthroscopie, une technique mini-invasive.

  • Procédure : Le chirurgien réalise deux petites incisions de 5 mm à l’avant du genou. Il introduit une caméra miniature (l’arthroscope) par l’une, et ses instruments par l’autre. Cela lui permet de visualiser toute l’articulation et de traiter la lésion sans « ouvrir » le genou.

  • Durée : L’intervention dure en moyenne 30 minutes.

  • Hospitalisation : Elle se fait le plus souvent en ambulatoire (vous rentrez le matin et sortez le soir même).

Lésion Méniscale

Deux types de gestes peuvent être réalisés, avec pour objectif de préserver au maximum le ménisque :

  1. La Suture Méniscale (Réparation)

    Si la lésion se trouve dans une zone vascularisée du ménisque et qu’elle a un bon potentiel de cicatrisation, le chirurgien va la réparer en la « recousant » avec des fils spécifiques ou des ancres. L’avantage est de conserver 100% du ménisque. Les suites sont cependant plus longues.

  2. La Méniscectomie Partielle (Régularisation)

    Si la lésion n’a aucune chance de cicatriser, le chirurgien retire uniquement la partie abîmée et instable du ménisque, en laissant en place toute la partie saine. C’est le geste le plus fréquent.

Après l’intervention

  • Douleur : La douleur est contrôlée par des médicaments et de la glace.

  • Marche : La marche avec des béquilles est possible dès le retour en chambre, avec appui complet.

  • Soins : Des soins de cicatrice sont réalisés tous les deux jours. Les fils sont généralement résorbables.

Quels sont les risques et complications possibles ?

L’arthroscopie est une intervention très sûre et les complications sont exceptionnelles. Cependant, le risque zéro n’existe pas. Parmi les complications possibles :

  • Phlébite : Formation d’un caillot dans une veine de la jambe. Un traitement préventif peut être prescrit.

  • Infection : Très rare, prévenue par des mesures d’hygiène strictes.

  • Hématome : Un saignement post-opératoire qui se résorbe le plus souvent seul.

  • Raideur articulaire et algodystrophie : Peuvent survenir mais sont bien pris en charge par la rééducation.

La rééducation : La clé du succès

Les suites post-opératoires et la rééducation dépendent du geste réalisé :

  • Après une méniscectomie (partie retirée) :

    • La récupération est rapide.

    • La marche se fait sans béquilles dès que possible.

    • La rééducation chez un kinésithérapeute commence après une semaine.

    • Reprise du travail après 2 à 3 semaines, et du sport entre le 2ème et 3ème mois.

  • Après une suture méniscale (réparation) :

    • La récupération est plus longue et plus prudente pour permettre la cicatrisation.

    • La marche se fait avec des béquilles sans appui complet pendant 4 semaines.

    • La flexion du genou est limitée au début.

    • La rééducation est plus progressive. La reprise du sport se fait généralement après le 3ème mois.

Questions Fréquentes

COMBIEN DE TEMPS DOIS-JE UTILISER MES BÉQUILLES ?

Après une méniscectomie, très peu de temps, juste pour le confort les premiers jours. Après une suture, pendant 4 semaines pour protéger la réparation.

QUAND PUIS-JE PRENDRE UNE DOUCHE ?

Dès la première semaine en protégeant les cicatrices avec un pansement imperméable. Après une dizaine de jours, la douche sans protection est généralement possible.

PENDANT COMBIEN DE TEMPS MON GENOU RESTERA-T-IL GONFLÉ ?

Le gonflement diminue progressivement en 2 à 3 semaines. Surélever la jambe et glacer régulièrement aident beaucoup.

COMMENT RECONNAÎTRE UNE INFECTION ?

Les signes d’alerte sont : une rougeur et une chaleur excessives, un écoulement de la plaie, une augmentation de la douleur et une fièvre (>38°C). Si vous avez un doute, contactez votre chirurgien.

QUAND DOIS-JE FAIRE MES EXERCICES ET COMMENT SAVOIR SI JE N’EN FAIS PAS TROP ?

Faites plusieurs petites séances d’exercices par jour. Si la douleur ou le gonflement augmentent significativement, c’est que vous en avez trop fait. L’objectif est une progression douce et constante.

DURANT COMBIEN DE TEMPS MON GENOU VA-T-IL RESTER DOULOUREUX ?

La douleur post-opératoire diminue rapidement les premiers jours et s’estompe en quelques semaines. Elle est bien contrôlée par les médicaments prescrits.

Arthroscopie du genou: Vidéos

En résumé

Quand opérer ?

En cas de douleur de genou handicapante résistante au traitement médical.

But de l’opération

Enlever un morceau du ménisque ou le réparer.

Quelle anesthésie ?

Générale ou rachianesthésie (déterminée avec le médecin anesthésiste).

Durée d’hospitalisation

En ambulatoire.

Reprise de l’appui

Le jour même de votre intervention.

Après l’opération

Retour à domicile.

Durée de la rééducation

En général, 1 à 2 mois.

Durée de l’arrêt de travail

3 à 6 semaines, plus long en cas de travail de force

Reprise de la conduite auto

3 semaines

Reprise du sport

6 semaines après l’intervention