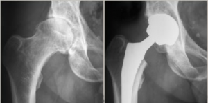
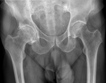
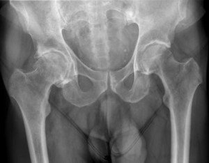
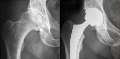
L’arthrose (ou coxarthrose) est l’usure du cartilage de votre hanche. Le cartilage est le revêtement protecteur qui permet aux os de glisser parfaitement l’un sur l’autre, comme un coussinet.
Avec le temps, ce cartilage s’abîme, s’affine et finit par disparaître. Les os se retrouvent alors en contact direct « os contre os ». Ce frottement crée de l’inflammation et devient très douloureux.
L’arthrose évolue lentement mais provoque une gêne de plus en plus importante :
Si l’arthrose est souvent liée au vieillissement naturel, elle peut être accélérée par plusieurs facteurs :
La chirurgie n’est jamais la première option. Pour soulager la douleur, votre médecin vous proposera d’abord :
Quand faut-il opérer ?
On décide d’opérer lorsque le traitement médical ne suffit plus et que la douleur et la raideur deviennent trop invalidantes au quotidien. L’âge n’est pas une limite : l’important est de retrouver une bonne qualité de vie.
Une fois la décision prise, une préparation rigoureuse est essentielle pour votre sécurité :

La rééducation est essentielle. Elle commence dès le premier jour à l’hôpital et se poursuit après votre sortie :
La marche, le vélo d’appartement (après accord) et la natation (après cicatrisation) seront vos meilleurs alliés pour retrouver une marche fluide et sans boiterie.
Toute chirurgie comporte des risques, mais ils sont rares et très contrôlés. Les complications les plus fréquentes sont :
En général, de 2 à 4 semaines. Vous les abandonnerez lorsque vous vous sentirez stable et que vous marcherez sans boiterie.
Il faut attendre environ 1 mois, après l’accord de votre chirurgien.
Vous pouvez prendre une douche rapidement avec un pansement imperméable. Pour prendre un bain, il faut attendre la cicatrisation complète (environ 3 semaines à 1 mois).
Oui, c’est normal que la cuisse et la jambe gonflent après l’opération (un œdème). Pensez à surélever vos jambes lorsque vous êtes au repos et à glacer régulièrement.
Elles sont nécessaires pour éviter la phlébite. La durée est variable, mais comptez en moyenne 4 à 6 semaines.
Écoutez votre corps. La douleur est un signal. Il vaut mieux faire plusieurs petites séances d’exercices dans la journée qu’une seule longue séance intensive. Si la douleur ou le gonflement augmente, reposez-vous.
Oui, très probablement. Prévenez simplement l’agent de sécurité avant de passer le portique de détection. Il n’est généralement pas nécessaire d’avoir un certificat.
La douleur de l’opération (cicatrice, muscles) diminue de jour en jour et s’estompe en quelques semaines. Cette douleur est très différente de la douleur de l’arthrose, qui, elle, disparaît immédiatement après l’opération.
Vous pourrez reprendre une vie active normale. La marche, le vélo, la natation, la randonnée ou le golf sont excellents. Les sports très violents ou avec des impacts (course à pied, sports de combat) sont déconseillés pour protéger votre prothèse.
En cas de douleur de hanche handicapante résistante au traitement médical.
Remplacer l'articulation douloureuse.
Générale ou rachianesthésie (déterminée avec le médecin anesthésiste).
Entre 2 et 4 jours.
Le jour même de votre intervention.
Retour à domicile au centre de rééducation.
En général, 1 à 2 mois.
6 à 8 semaines, plus long en cas de travail de force.
1 mois ½ après l’opération.
3 mois après l’intervention.