Secrétariat du lundi au vendredi de 08h00 à 18h00 au 07 67 05 04 02

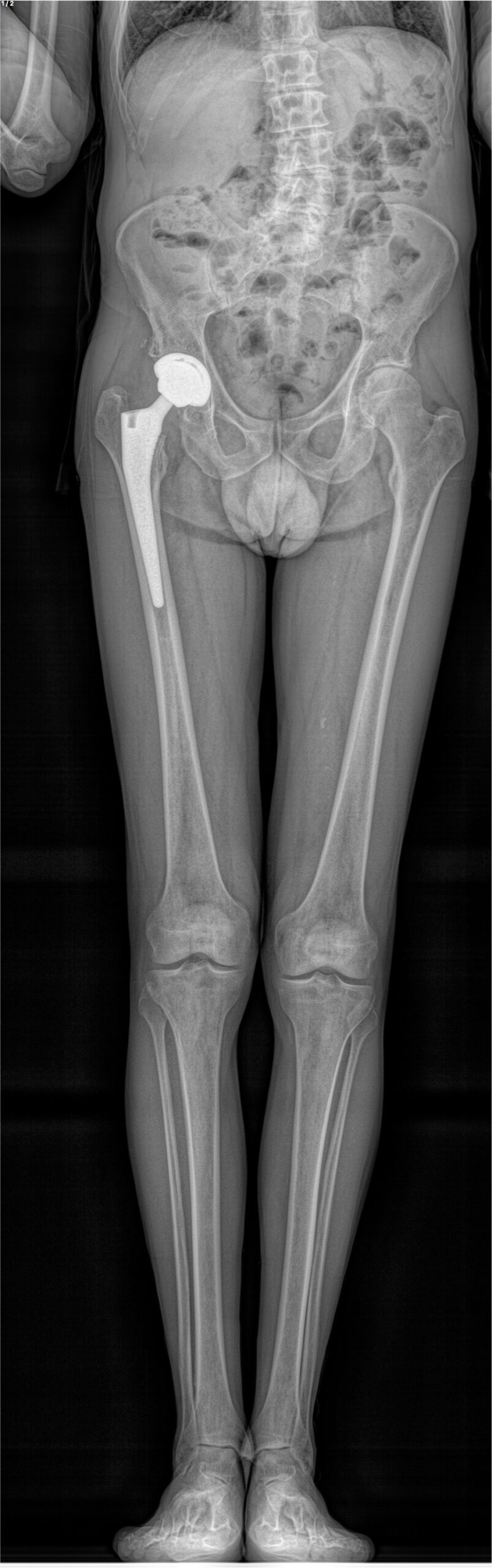
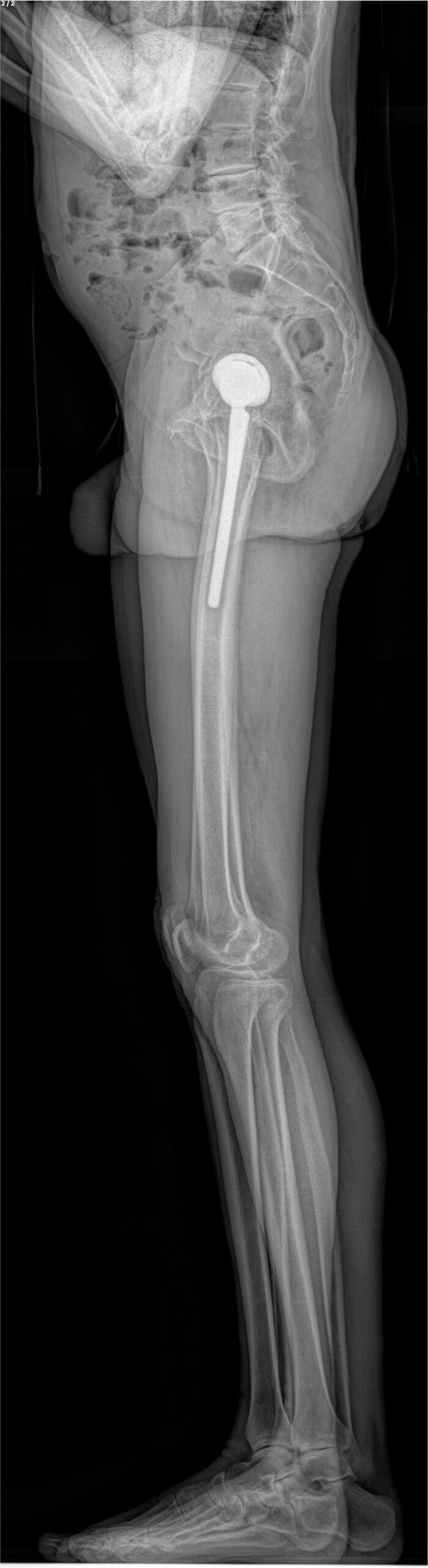
Imagerie EOS

Système d’Imagerie EOS à la Clinique Arago

L’imagerie EOS est la plus récente des techniques de radiologie standard. Elle repose sur la mise au point de détecteurs gazeux spécifiques, inventés par Georges Charpak, lauréat du prix Nobel de physique.

Ce système permet la réalisation de radiographies du corps entier en position debout, en une seule acquisition, sans assemblage d’images et sans distorsion verticale. Des clichés numériques de face et de profil, de tout ou partie du corps, sont obtenus simultanément avec une qualité d’image exceptionnelle et sans aucun agrandissement, garantissant une fiabilité parfaite des mesures.

À la manière d’une photocopieuse, un très fin faisceau de rayons X balaye le corps du patient de la tête aux pieds, réalisant une image de face et une de profil en quelques secondes et de manière simultanée. L’extrême sensibilité des détecteurs développés par Georges Charpak permet cette acquisition corps entier avec une dose de radiation 9 fois inférieure à celle des méthodes radiologiques classiques et jusqu’à 100 fois inférieure à celle d’un scanner.